Good price  online

products details

Created with Pixso. Home Created with Pixso. Products Created with Pixso.
Dental Biomimetic Aesthetic
Created with Pixso. Zirconia Dental Crown Case Study | Global Lab Outsourcing - Joydentalab

Zirconia Dental Crown Case Study | Global Lab Outsourcing - Joydentalab

Brand Name: Joydenta
MOQ: flexible
Delivery Time: 4 working days
Payment Terms: T/T PayPal
Detail Information
New Website:
Www.joydenta-lab.com
New Website:
Https://joydenta-lab.com/en/
Packaging Details:
bubble wrap with box
Supply Ability:
500 cases / day
Highlight:

Zirconia dentures with natural look

,

Dental zirconia false teeth

,

Zirconia dentures for tooth replacement

Product Description

Zirconia Dental Crown Case Study – Premium Global Outsourcing by Joydentalab

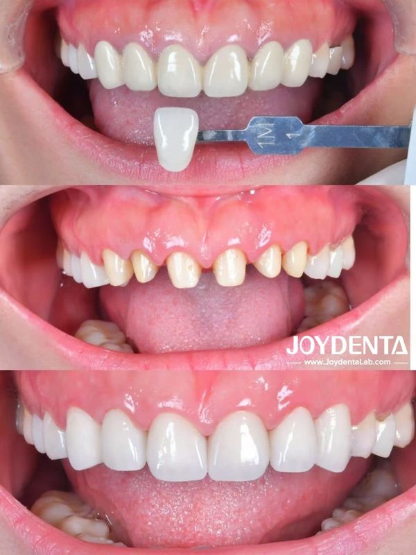
This clinical case presents a secondary restoration for a patient who previously received metal-ceramic crowns many years ago. Over time, the patient sought an upgrade to a more natural, durable, and esthetically advanced solution. The dental clinic selected the zirconia dental crown system manufactured by JOY Dental Lab, and the result is a clear step forward in both precision and esthetic performance.

As shown in the images, the difference between the old prosthesis and the new zirconia restoration is significant. The upgraded zirconia dental crown delivers:

  • Enhanced color accuracy and translucency

  • A refined anatomical shape that integrates harmoniously with the patient's natural dentition

  • Superior long-term strength and stability

  • Biocompatible materials suited for sensitive patients

The dental clinic and the patient both expressed satisfaction with the final outcome. The restoration presents a natural, highly realistic appearance, reinforcing why zirconia remains one of the most trusted materials in modern restorative dentistry.


Why Global Dental Labs Choose JOY Dental Lab for Zirconia Restorations

As a premium dental lab specializing in international outsourcing, JOY Dental Lab supports dental laboratories across the United States, Australia, and the United Kingdom with high-precision zirconia solutions.

Our advantages include:

  • Digital design consistency through advanced CAD/CAM workflow

  • High-strength multilayer zirconia materials

  • Stable turnaround time for global clients

  • Strict quality control to ensure predictable outcomes

  • Professional communication for long-distance laboratory cooperation

Whether you require single-unit cases, full-arch zirconia bridges, or implant-supported restorations, we provide reliable production support tailored to global dental laboratories.


Partner With a Trusted Global Outsourcing Laboratory

If your clinic or laboratory is seeking a dependable partner for zirconia dental crown fabrication, JOY Dental Lab delivers manufacturing precision, natural esthetics, and excellent international service.

We welcome dental labs worldwide to collaborate and elevate their restorative results with high-quality zirconia craftsmanship.

Good price  online

Products Details

Created with Pixso. Home Created with Pixso. Products Created with Pixso.
Dental Biomimetic Aesthetic
Created with Pixso. Zirconia Dental Crown Case Study | Global Lab Outsourcing - Joydentalab

Zirconia Dental Crown Case Study | Global Lab Outsourcing - Joydentalab

Brand Name: Joydenta
MOQ: flexible
Packaging Details: bubble wrap with box
Payment Terms: T/T PayPal
Detail Information
Brand Name:
Joydenta
New Website:
Www.joydenta-lab.com
New Website:
Https://joydenta-lab.com/en/
Minimum Order Quantity:
flexible
Packaging Details:
bubble wrap with box
Delivery Time:
4 working days
Payment Terms:
T/T PayPal
Supply Ability:
500 cases / day
Highlight:

Zirconia dentures with natural look

,

Dental zirconia false teeth

,

Zirconia dentures for tooth replacement

Product Description

Zirconia Dental Crown Case Study – Premium Global Outsourcing by Joydentalab

This clinical case presents a secondary restoration for a patient who previously received metal-ceramic crowns many years ago. Over time, the patient sought an upgrade to a more natural, durable, and esthetically advanced solution. The dental clinic selected the zirconia dental crown system manufactured by JOY Dental Lab, and the result is a clear step forward in both precision and esthetic performance.

As shown in the images, the difference between the old prosthesis and the new zirconia restoration is significant. The upgraded zirconia dental crown delivers:

  • Enhanced color accuracy and translucency

  • A refined anatomical shape that integrates harmoniously with the patient's natural dentition

  • Superior long-term strength and stability

  • Biocompatible materials suited for sensitive patients

The dental clinic and the patient both expressed satisfaction with the final outcome. The restoration presents a natural, highly realistic appearance, reinforcing why zirconia remains one of the most trusted materials in modern restorative dentistry.


Why Global Dental Labs Choose JOY Dental Lab for Zirconia Restorations

As a premium dental lab specializing in international outsourcing, JOY Dental Lab supports dental laboratories across the United States, Australia, and the United Kingdom with high-precision zirconia solutions.

Our advantages include:

  • Digital design consistency through advanced CAD/CAM workflow

  • High-strength multilayer zirconia materials

  • Stable turnaround time for global clients

  • Strict quality control to ensure predictable outcomes

  • Professional communication for long-distance laboratory cooperation

Whether you require single-unit cases, full-arch zirconia bridges, or implant-supported restorations, we provide reliable production support tailored to global dental laboratories.


Partner With a Trusted Global Outsourcing Laboratory

If your clinic or laboratory is seeking a dependable partner for zirconia dental crown fabrication, JOY Dental Lab delivers manufacturing precision, natural esthetics, and excellent international service.

We welcome dental labs worldwide to collaborate and elevate their restorative results with high-quality zirconia craftsmanship.