 
            |   | 
 
                     
                     
                     
                     
                     
                    | Brand Name: | Joydenta | 
| MOQ: | flexible | 
| Delivery Time: | 4 working days | 
| Payment Terms: | T/T PayPal | 
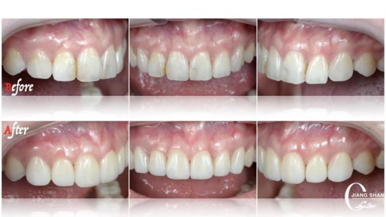
At our dental lab, we take pride in crafting premium, custom-made aesthetic veneers that blend seamlessly with natural dentition. Our recent collaboration with a leading dental clinic has resulted in yet another stunning smile transformation, and we are excited to share this exceptional case with you.
The patient presented with: Discolored, uneven teeth, affecting both aesthetics and confidence.
After: A radiant, symmetrical, and natural-looking smile that speaks volumes.
Using our high-quality porcelain veneers, designed with precision and an artistic touch, we created a set of thin, durable laminates that perfectly mimic the light-reflecting properties of natural enamel. The result? A flawless, long-lasting smile that looks and feels authentic.
This case is a testament to what modern cosmetic dentistry can achieve with the right expertise and materials. Whether you're a dentist looking to offer smile makeovers or a patient seeking a confidence boost, our dental laboratory is your trusted partner for aesthetic excellence.
Join countless satisfied clinics and patients worldwide who have experienced the life-changing power of aesthetic veneers. Let us help you create beautiful, healthy smiles that last.
 
            |   | 
 
                     
                     
                     
                     
                     
                    | Brand Name: | Joydenta | 
| MOQ: | flexible | 
| Packaging Details: | bubble wrap with box | 
| Payment Terms: | T/T PayPal | 
At our dental lab, we take pride in crafting premium, custom-made aesthetic veneers that blend seamlessly with natural dentition. Our recent collaboration with a leading dental clinic has resulted in yet another stunning smile transformation, and we are excited to share this exceptional case with you.
The patient presented with: Discolored, uneven teeth, affecting both aesthetics and confidence.
After: A radiant, symmetrical, and natural-looking smile that speaks volumes.
Using our high-quality porcelain veneers, designed with precision and an artistic touch, we created a set of thin, durable laminates that perfectly mimic the light-reflecting properties of natural enamel. The result? A flawless, long-lasting smile that looks and feels authentic.
This case is a testament to what modern cosmetic dentistry can achieve with the right expertise and materials. Whether you're a dentist looking to offer smile makeovers or a patient seeking a confidence boost, our dental laboratory is your trusted partner for aesthetic excellence.
Join countless satisfied clinics and patients worldwide who have experienced the life-changing power of aesthetic veneers. Let us help you create beautiful, healthy smiles that last.